Female patient, 45 years old, non-smoker, sought treatment for deep periodontal pockets in teeth 12 and 23. Due to the presence of vertical defects in both teeth and easy surgical access, we decided to use a minimally invasive technique that did not require incisions. Once surgery was complete, hyaluronic acid in a gel form, with a concentration of 0.2%, was applied to the wounds and the patient was advised to continue treatment three times a day for a week. The images showing the removal of the stitches were taken 5 days after surgery and show excellent healing for such a short amount of time.
-
Image C1:1 Pre-Operative (Tooth 12)
Approximately 9 mm periodontal pocket distally, and approximately 4 mm buccal recession.
-
Image C1:2 Post-Operative (Tooth 12)
No bleeding, rapid healing and wound closure with minimal further recession.
-
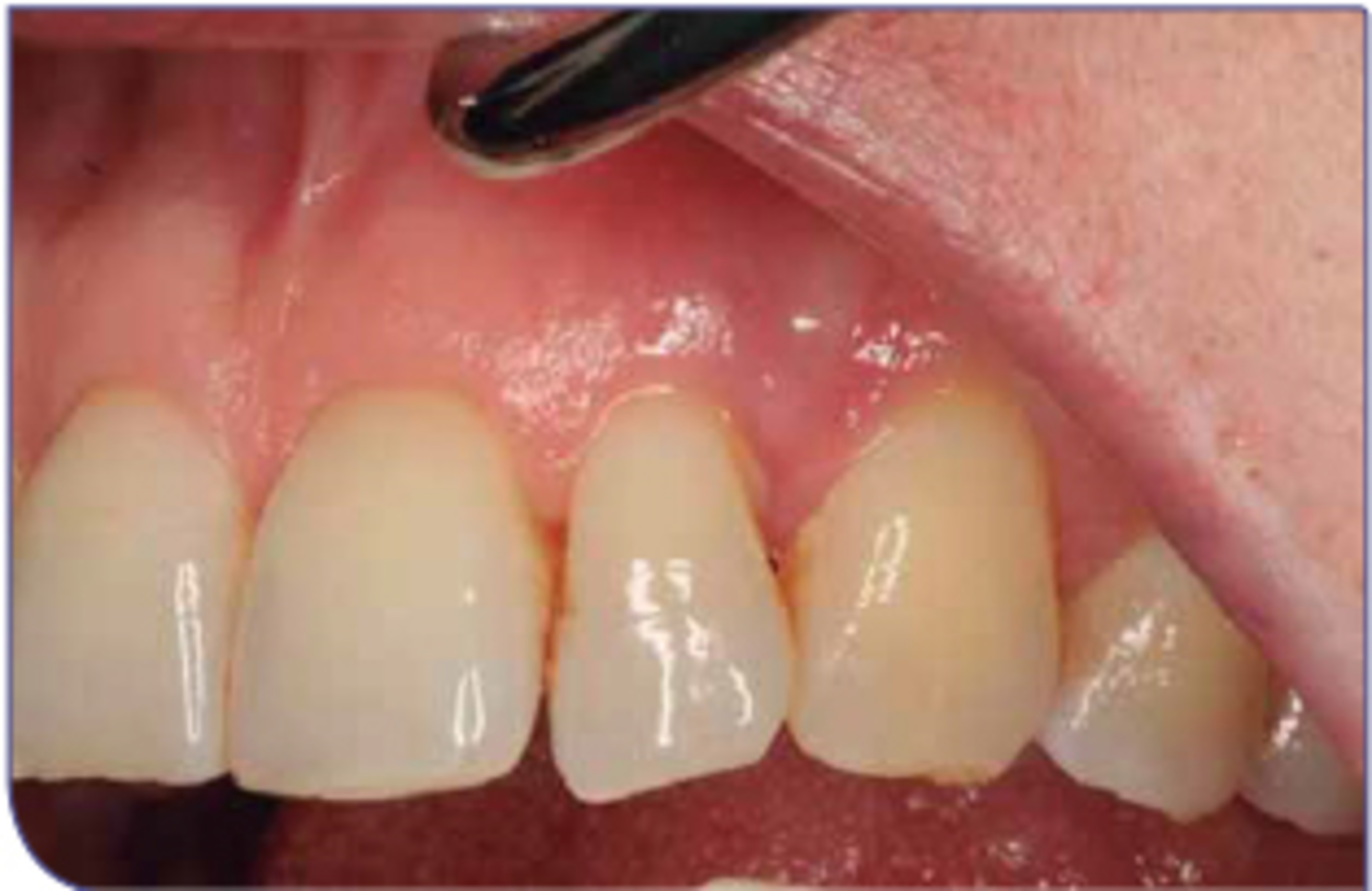
Image C1:3 5 Days Post-Operative
Enhanced wound healing and inflammation elimination.
-
Image C1:4 Pre-Operative (Tooth 22)
Distal inflammation and exudation from the periodontal pocket.
-
Image C1:5 Post-Operative (Tooth 22)
Excellent wound closure and minimal bleeding.
-
Image C1:6 5 Days Post-Operative (Tooth 22)
Rapid wound healing and reformation of normal ketarinised gingival tissue at the surgical site.





